VIRUSES CONTINUE TO EXIST (part3) despite uneducated opinions, intentional ignorance, and "emotion-driven thinking"
Truth does not stop being true just because people want to ignore it.
Today I read another comment stating “no virus has ever been physically isolated” from someone who wants to think that no virus has ever been physically isolated. What’s really pathetic is that these people aren’t even willing to do a simple Google search to see images of the consequences of viral infections—doing so destroys the illusion that “viruses aren’t real” in about 5 seconds.
We as doctors have to deal with the reality of viruses, and we don’t have the luxury of wishful thinking when we have to confront the harsh reality that 1) viruses exist, 2) they cause infections that cause damage, and 3) virus infections can cause permanent damage (eg, brain damage, heart damage, liver damage) and death—see photos linked/included below.
If I were ignorant or willing to be a liar, I could make everyone happy by telling them that viruses didn’t exist and that herpes/warts/rabies, viral encephalitis, viral hepatitis, were just Rockefeller propaganda and/or “illnesses that your body is detoxifying” because that would make life simpler and would give people a false sense of comfort—the childhood equivalent of being told “everything is going to be ok” along with reassurance that no monsters are under the bed; but that would be both stupid and false—contrary to observable reality.
See my previous discussions and diagrams on strategic stupidity.
Virus denialists have no explanation for viral illnesses other than to say that it is social psychosis, propaganda, or —somehow that denies all known biology— a “detoxification” or “cleansing” reaction, ie in their fantasy illusions they have turned legitimate illness into something to be happy about.
BACTERIOPHAGES: In their illusions, virus denialists claim that bacteria that are infected with bacteriophages have simply watched too much television or were indoctrinated in medical school. BACTERIOPHAGES are viruses that are specific to bacteria (eg, they don’t infect humans).
ANIMAL INFECTIONS: In their illusions, animals that die of rabies are simply sleeping after reading Rockefeller propaganda. Their fragile and false reality cannot deal with or explain how animals die of rabies and transmit rabies to other animals or humans who then succumb to rabies, die of rabies, and have rabies virus particles in their tissues.
HUMAN INFECTIONS, INCLUDING DEATH: They want you to think that herpes infections are your way of your body cleaning itself (happy thoughts!!!) while they have no explanation for the reality that people die from herpes infections in their brains—see images and case reports provided below.
We as doctors have to deal with the reality of viruses, and we don’t have the luxury of wishful thinking when we have to confront the harsh reality that 1) viruses exist, 2) they cause infections that cause damage, and 3) virus infections can cause permanent damage (eg, brain damage, heart damage, liver damage) and death—see photos linked/included below.
Perhaps the most popular fad in this regard is to chirp that “no virus has ever been isolated” which is false for at least 3 reasons:
STRAWMAN/MISREPRESENTATION FALLACY: First, it falsely relies on the intentional/strategic misunderstanding that the technique of virus isolation is the only reliable technique for isolating viruses and is thus a strawman/misrepresentation fallacy—misrepresentation of the argument in an attempt to falsely win the argument. People who rely on this false argument are colossally ignorant of biomedical history, virus biology, and laboratory methods.
COLOSSAL IGNORANCE OF OTHER METHODS: “Virus isolation” in the classic historical sense was based on the idea that viruses were like bacteria and could be more-or-less easily grown in nutritional media and/or cell cultures; this was before the discoveries that 1) viruses are obligate intracellular parasites and therefore obviously cannot replicate in acellular nonviable nutritional media as can bacteria, and 2) viruses are highly specific with regard to 1) species, 2) cell type, and 3) cell surface/entry receptors.
IGNORANCE/DENIAL/DISRESPECT for CLINICAL CONSEQUENCES OF VIRAL INFECTIONS: People who deny viruses are disrespecting the clinically-observed consequences of real-world diseases such as herpes/warts/rabies, viral encephalitis, viral hepatitis. I observe this as not simply colossally ignorant, but horrifically disrespectful to the patients who suffer and die from these virus-mediated illnesses; these anti-establishment reality-denying fools that selectively spout that “viruses don’t exist” are horrifically gaslighting the patients and their families/friends/doctors who deal with the real-world consequences of viral infections such as organ failure, permanent mental retardation, and death.
Viral denial is a product of 3 reality-denying influences:
Emotional thinking: Sure, we all want life to be happy, safe, and simple, but we cannot let emotions dictate our cognitive processes and our observations.
Institutional fraud: Ironically, governments and the medical profession are responsible for the overriding and overwhelming cynicism and falsification of reality such that people now doubt everything they’ve ever been told.
Social media and the generation of nonreality: This institutionalized fraud combines with the current generation’s willingness and ability to ignore reality, and thus viral denial is a product of these reality-denying influences. Any ignorant imbecile can gain a social media following to reinforce whatever cockamamie ideas they want to espouse, and thus anyone can cultivate their own personal echo-chamber and house of mirrors.
We as doctors have to deal with the reality of viruses, and we don’t have the luxury of wishful thinking when we have to confront the harsh reality that 1) viruses exist, 2) they cause infections that cause damage, and 3) virus infections can cause permanent damage (eg, brain damage, heart damage, liver damage) and death. These anti-establishment reality-denying fools that selectively spout that “viruses don’t exist” are horrifically gaslighting the patients and their families/friends/doctors who deal with the real-world consequences of viral infections such as organ failure, permanent mental retardation, and death.
See a few samples of the evidence for yourself:
https://www.utmb.edu/virusimages/the-virus-images
https://www.utmb.edu/virusimages/VI/rabies-virus
https://www.pathologyoutlines.com/topic/cnshsvencephalitis.html
https://pmc.ncbi.nlm.nih.gov/articles/PMC1831241/
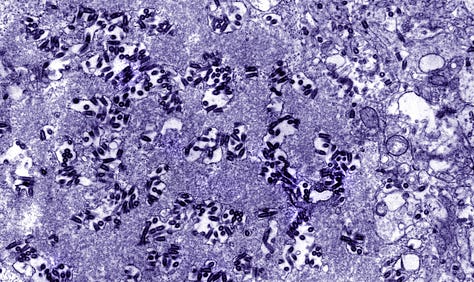
1. Physical evidence of viruses via tissue samples and microscopy:
Physical evidence of viruses includes the observations that:
virus particles can be photographed,
virus particles can be filtered,
virus particles can be transferred from an infected host to an uninfected host,
virus particles can be observed in infected tissue samples, such as post-mortem brain samples from animals and humans that have died from virus-mediated brain infections.









Images above are from https://www.utmb.edu/virusimages/VI/rabies-virus and https://www.pathologyoutlines.com/topic/cnshsvencephalitis.html
2. Pathological evidence of viruses in animals
The most notorious viral infection in animals is that of rabies.
Since animals are immune to medical school indoctrination and Rockefeller propaganda, these excuses cannot be applied as rational explanations.
Images below are from https://www.utmb.edu/virusimages/VI/rabies-virus showing rabies virus in 2 animals (hamster and fox) that never watched television propaganda and never studied Rockefeller medical indoctrination.
3. Clinical evidence of viruses in humans
Clinical evidence of viruses includes the observations that:
TRANSMISSION: virus particles can be transferred from an infected host to an uninfected host,
HISTOPATHOLOGY: virus particles can be observed in infected tissue samples, such as post-mortem brain samples from animals and humans that have died from virus-mediated brain infections,
THERAPEUTIC RESPONSES TO TREATMENTS: Patients with viral infections can be treated with antiviral agents such as drugs (blocking/binding to virus particles) and nutrients (supporting host defense) to reduce the duration and severity of viral infections.
FATAL CONSEQUENCES: Some patients die or have permanent organ damage from viral infections and/or the resultant acute or chronic inflammation. Saying that “virus infections don’t exist” is incompatible with looking at autopsies of dead patients with systemic/organ failure. If these infections were “not real” or were a “detoxification reaction” or had no cause, then these patients would still be alive and/or they would somehow be more healthy after they had experienced such a “detoxification reaction” or had liberated their “exosomes.” We don’t have the luxury of telling people they are not dead, nor to their families that they died from something that does not exist.
About the Author and Presenter: Dr Alex Vasquez
Alex Kennerly Vasquez DO ND DC (USA), prior Fellow of the American College of Nutrition (FACN), prior Overseas Fellow of the Royal Society of Medicine (RSM, London UK):
{education} An award-winning clinician-scholar and founding Program Director of the world's first fully-accredited university-based graduate program in Human Nutrition and Functional Medicine, Dr Alex Vasquez is recognized internationally for his high intellectual and academic standards and for his detailed expertise spanning and interconnecting many topics in Medicine and Nutrition. Dr Vasquez holds three doctoral degrees as a graduate of University of Western States (Doctor of Chiropractic, 1996), Bastyr University (Doctor of Naturopathic Medicine, 1999), and University of North Texas Health Science Center, Texas College of Osteopathic Medicine (Doctor of Osteopathic Medicine, 2010). Dr Vasquez has completed thousands of hours of post-graduate and continuing education (certifications) in subjects including Obstetrics, Pediatrics, Basic and Advanced Disaster Life Support, Nutrition and Functional Medicine; while in the final year of medical school, Dr Vasquez completed a Pre-Doctoral Research Fellowship in Complementary and Alternative Medicine Research hosted by the US National Institutes of Health (NIH).
{teaching, directing, organizing} Dr Vasquez has served in many teaching roles at the undergraduate, graduate, and doctorate levels in various accredited universities and colleges throughout the United States and has lectured internationally at the post-graduate level including accredited Continuing Medical Education (CME) for medical physicians. DrV was the founding Program Director of the world's first fully-accredited university-based graduate program in Human Nutrition and Functional Medicine, and almost-single-handedly orchestrated the entirety of the five-day 2013 International Conference on Human Nutrition and Functional Medicine.
{books} Dr Vasquez is the author of more than ten textbooks, including Integrative Orthopedics (2004, 2007, 2012), Functional Medicine Rheumatology (2014), Musculoskeletal Pain: Expanded Clinical Strategies (commissioned and published by Institute for Functional Medicine, 2008), Chiropractic and Naturopathic Mastery of Common Clinical Disorders (2009), Integrative Medicine and Functional Medicine for Chronic Hypertension (2011), Brain Inflammation in Migraine and Fibromyalgia (2016), Antiviral Strategies and Immune Nutrition (2014), Autism, Dysbiosis, and the Gut-Brain Axis (2017) and the 1200-page Inflammation Mastery 4th Edition (2016) also published as a two-volume set titled Textbook of Clinical Nutrition and Functional Medicine. Dr Vasquez’s books are available internationally via bookstores such as BookDepository, Amazon, Barnes and Noble, ThriftBooks, AbeBooks, BetterWorldBooks, WaterStonesBooks.
Sample PDF downloads:
Click here to see the first few pages, including the table of contents and index (size: 6 MB)
Click here for a larger sample with photos (size: 43 MB)
{journals} "DrV" has written approximately 100 letters and articles for professional magazines and medical journals such as TheLancet.com (online x1), British Medical Journal (BMJ: online x3, print x1), Annals of Pharmacotherapy, Nutritional Perspectives (x11), Journal of Manipulative and Physiological Therapeutics (JMPT), Journal of the American Medical Association (JAMA), Original Internist (x3), Integrative Medicine (x4), Holistic Primary Care, Alternative Therapies in Health and Medicine (x2), Journal of the American Osteopathic Association (JAOA), Journal of Restorative Medicine, Dynamic Chiropractic (x3), Naturopathic Doctor News & Review (x2), Journal of Clinical Endocrinology and Metabolism, Current Asthma and Allergy Reports, Complementary Therapies in Clinical Practice, Nature Reviews Rheumatology, Annals of the New York Academy of Sciences, and Arthritis & Rheumatism—Official Journal of the American College of Rheumatology. Having served on the Review Boards for Acta Neuropsychiatrica, Journal of Pain Research, Autoimmune Diseases, PLOS One, Alternative Therapies in Health and Medicine, Neuropeptides, International Journal of Clinical Medicine, Journal of Inflammation Research, BMC Complementary and Alternative Medicine (all PubMed/Medline indexed), Integrated Blood Pressure Control, Journal of Biological Physics and Chemistry, Chiropractic Journal of Australia, Journal of Chiropractic Humanities, and Journal of Naturopathic Medicine, Dr Vasquez served as the founding Editor of Naturopathy Digest, founding Editor (2013-) of International Journal of Human Nutrition and Functional Medicine and Editor (2018-2019) of Journal of Orthomolecular Medicine.
{high-level profitability} Dr Vasquez has spearheaded low-resource high-quality high-profit educational programs that were instantly profitable to several million dollars; Dr Vasquez has created several products for the nutrition industry with multi-million-dollar valuationsvaluations, including the popularization of higher-dose vitamin D supplementation with his 2004 “vitamin D paradigm shift” followed by publications in Journal of the American Medical Association (JAMA), British Medical Journal (BMJ), The Lancet (website), and Journal of Clinical Endocrinology and Metabolism.
{bio} Dr Vasquez lectures internationally to healthcare professionals, has a consulting practice and service for doctors and patients, and constantly reviews research to produce new articles, videos, educational materials, and innovative product formulations. Dr Vasquez served as Director of Medical Board of Advisors, senior consultant, product designer, writer and lecturer for Biotics Research Corporation (Texas) from for 18 years (2004-2022) and continues producing educational materials and products for the nutraceutical market. Dr Vasquez has lived in Colombia, throughout the United States (Houston, Fort Worth, Austin, Miami, Pittsburgh, Seattle, Gainesville GA, Portland OR) and Spain (Barcelona, Tarragona, San Sebastian, Ourense).
Now that this HealthyTHINKING.substack has grown to more than 1,000 pages of articles and videos, I will periodically provide topic-specific “index pages” to organize and update categories of pages and topics so that they remain accessible.
This will also provide opportunity to review those pages and ensure that they are still accurate (anything new?) and functional especially since outsourced/streamed video sources are subject to change, especially with the ongoing censorship from YouTube and Vimeo.
Most of these topics are detailed in my textbook INFLAMMATION MASTERY, which is currently in its 4th Edition: Click here to see the cover; Click here to see the first few pages, including the table of contents and index (size: 6 MB); Click here for a larger sample with photos (size: 43 MB)
Many of my articles and videos interconnect large topics such as mental health, nutrition, thought paradigms and therefore are appropriately listed twice or more in their categories, for example:
Chronic Pain, Brain Health, Neuroinflammation, Autism, Fibromyalgia, Gaslighting, Social Defeat Stress
Vitamin D in Brain Health, Mood, Anxiety, Depression, Neuroprotection: This is Part2 in a series of high-detail video reviews on the clinical use and applications of vitamin D; this page includes an updated (2025) index of links to other videos and articles.
Health Homework (42) If you're not actively defending yourself against psychopathic people and businesses, then you're probably being abused; you have to become aware, see it, and protect yourself: 65% of the population are untrustworthy zombies and 10% are overt or covert psychopaths/sociopaths; thus 75% of the population—3 per 4 free-living people in the population—are potentially dangerous
Celebrating my 20 years of Deciphering Fibromyalgia: New Research to be published in July 2025 proves that I was right more than two (2) decades ago. I'm not cocky; I'm *RIGHT* ...+... Everything is a profit-center in Medicine.
Dr Vasquez, FIBROMYALGIA as a PROTOTYPE of GUT DYSBIOSIS; research to be published in July 2025 proves that I was right 25 years ago and that they still need another 15 years to catch up to me. Research to be published in July 2025 proves that I was right 25 years ago and that they still need another 15 years to catch up to me.
2016 Paris France (part2) Fibromyalgia and Brain (Neuro)Inflammation: Video recovered from the censored archives; the globalist powers don't want 1) me to talk about or 2) you to understand topics like fibromyalgia, neuroinflammation, depression, autism, vitamin D, etc.
2016 Paris France (part1) Fibromyalgia and Brain Inflammation, ie, Neuroinflammation: Video recovered from the censored archives; the globalist powers don't want 1) me to talk about or 2) you to understand topics like fibromyalgia, neuroinflammation, depression, autism, vitamin D, etc.
Autism and Vitamin D in 2025: Therapeutic Addition and Paradigm Shift: Live from the streets of New York.
…many many more to be added to this section…
Pages that need repair because of Vimeo’s censorship:
FIBROMYALGIA (part1) from My Personal Experience and Intuition to Molecular Documentation: Personally suffering with this enigmatic condition gave me an advantage over other researchers: I knew it was real, how and why it fluctuated, and I did not need to be convinced of its objectivity.
FIBROMYALGIA (part2) PROTOCOL complete 2-hour presentation: This presentation is nonstop 2 hours at the level of CME (Continuing Medical Education) although this conference was not CME and thus I was able to discuss specific products for implementation.
FIBROMYALGIA (part3) explained in 4 minutes (VIDEO): Here is FIBROMYALGIA part3.
Antiviral Nutrition Protocol Structure, Science, Application
Antiviral Nutrition Summary 2020 Remastered 2021 [ARCHIVED VIDEO]: Let's share the Paradigm Shift and get Everyone On-board; our freedoms and societies depend upon our liberating ourselves from the outdated pharmacocentric Vx-dependent model of Public Herding
ARCHIVED VIDEO Antiviral Nutrition March 2020 (final edit version2, 1hour) with 6 PDF publications from BMJ, JOM, Integrative Medicine and more: Archiving here for easy access + safekeeping.
ARCHIVED VIDEO Practical Implementation of DrV's Antiviral Nutrition Protocol (short version 25minutes): Now that this platform allows direct uploading/viewing of videos, I’m archiving for safekeeping this 25-minute summary.
[RECOVERED VIDEO] Antiviral Nutrition against Cv19 in early 2020: The Censored 1-hour Video Review that could have SAVED MILLIONS OF LIVES: Published in early March 2020, this is the Censored 1-hour Video Review that could have SAVED MILLIONS OF LIVES
Safety and Risks of Antiviral Nutrition [RECOVERED VIDEO]: This video was originally posted in August 2022 but was later censored and has now been recovered
Thought-Control for the Plandemic New Normal: Erasure of Ideas and Alternatives [ARCHIVED VIDEO from 2020 with updated text and videos] When the globalists took over control of the World Health Organization, one of the strategies that they used was to erase any consideration of alternatives so that more people would be forced into compliance
VIDEO REVIEW the Importance of Vitamin D in Antiviral Defense and Immunomodulation: The COVID Scandal of Intentional Ignorance [Goldmine5] Update for 2025: The videos originally posted to a single page titled “Vitamin D Goldmine” are being relocated/archived to their respective independent pages
AUDIO INTERVIEW Nutrition Against Coronavirus: UK Health Radio's Dora Walsh interviews Dr Vasquez
VIDEO [5hours;289minutes] 2015 European Congress on Antiviral Strategies and Immune Nutrition See Introduction+Video on this page (top of page)
Rapid Response to Conflicted NOT-Peer-Reviewed "Editorial" Strategically Overlooking ANTIVIRAL NUTRITION: Here is a copy of the Rapid Response that I sent to the Britannic Medicalization Joculation; see the linked PDF for complete context, citations, and my emails with the Editors.
[RECOVERED] Antiviral Strategies: Overview titled "Reintroduction"...sorry for any redundancy, but redundancy is better than lost or censored: I will post some of these recovered files, even at the risk of slight redundancy among some of them. I’d rather risk some slight redundancy than have the information safeguarded yet inaccessible



![[TUTORIAL VIDEO] Integrating Functional-Naturopathic Medicine into Medical Practice for Specialty and Primary Care [IM4update]](https://substackcdn.com/image/fetch/$s_!v4bh!,w_140,h_140,c_fill,f_auto,q_auto:good,fl_progressive:steep,g_auto/https%3A%2F%2Fsubstack-video.s3.amazonaws.com%2Fvideo_upload%2Fpost%2F125753986%2Fff68a1b4-4785-47f6-ac2b-deab1cf20c8f%2Ftranscoded-00001.png)
